Wybór odpowiedniego adwokata to często skomplikowany proces, który wymaga od nas dobrania doświadczonej osoby, którą będziemy w stanie zaufać. Jeśli...
Redakcja
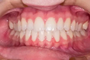
Chirurgia stomatologiczna to nieodłączny element współczesnej stomatologii, który umożliwia skuteczne leczenie wielu schorzeń jamy ustnej. Począwszy od ekstrakcji zębów,...
Znaczenie recenzji online Recenzje online odgrywają kluczową rolę w dzisiejszym świecie handlu i usług internetowych. Każdego dnia miliony konsumentów przeglądają...
Podstawowe wyposażenie gabinetu podologicznego Wyposażenie gabinetu podologicznego jest kluczowym elementem wpływającym na jakość usług oraz komfort pacjentów. Podstawowe wyposażenie obejmuje...
Czystość i higiena lokalu Jednym z pierwszych kroków do oceny świeżości składników w sushi jest zwrócenie uwagi na czystość i...
Coraz więcej osób decyduje się na samodzielne przeprowadzanie drobnych napraw w swoim domu. Wymiana uszczelki w kranie, naprawa przecieku pod...
Oprogramowanie BIM (Building Information Modeling) to niezwykle potężne narzędzie, które zmienia sposób, w jaki projektujemy, budujemy i zarządzamy infrastrukturą. Wykorzystując...
Różnice między projektowaniem 2D a 3D Projektowanie 2D, jest to metoda tworzenia dwuwymiarowych obrazów za pomocą programów komputerowych. Jest to...
Nowoczesne Technologie w Leczeniu Próchnicy W dzisiejszych czasach stomatologia nieustannie się rozwija, oferując pacjentom coraz bardziej zaawansowane metody...
Włoska kawa to ikona kulinarna, symbolem elegancji, pasji i rytuału spożywania. Kraj ten słynie nie tylko z doskonałych espresso, ale...